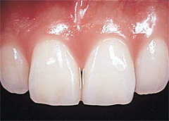
最も天然歯に近い補綴治療材と言われているものに、オールセラミックがあります。金属などをまったく使わず、セラミックだけで前歯の修復をしたり歯髄を取ったあとの歯の被せ物として使ったりします。より白い歯を再現し、しかも変色しないという特性があるほか、強度に優れているので、耐久性があるのが特徴です。
グラディアダイレクトと比べた場合、オールセラミックはクラウンなど大きな修復にも使える、より耐久性がある、経年劣化・変色しにくいというメリットがあります。しかしその一方で、歯を削る量が多い、技工士による製作が入るためにどうしても日数がかかってしまうというデメリットがあります。さらに保険適用外で、1歯あたり7~10万円以上という高価な点も無視できません。
グラディアダイレクトは1歯あたりの費用が違います
グラディアダイレクトは、オールセラミックほどではないにせよ、奥歯に使っても十分な強度があります。また、時間とともに変色したときには、表面を磨くことで元の色を取り戻すことも可能です。
当院では、1歯あたり1万円~という、非常にリーズナブルな価格を実現。多くの患者様にご利用いただけるよう努力をしています。
グラディアダイレクトの注意点
グラディアダイレクトは、オールセラミックと同様、まったく金属を使わないので金属アレルギーの心配はありません。しかし、お口の症状や状態によっては使用できない場合もありますので、まずはお気軽にご相談ください。









