


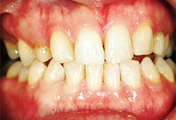
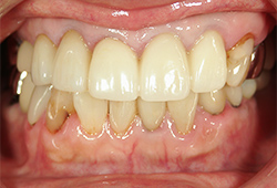
グラディア 9本 145,000円
審美歯科症例5


ファイバーコア+オールセラミック 5本 366,000円
グラディア 2本 40,000円
計406,000円
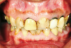
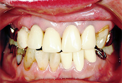
審美歯科症例6


ファイバーコア+オールセラミック 6本 732,000円
ファイバーコア+ジルコニア 2本 264,000円
計996,000円



グラディア 9本 145,000円


ファイバーコア+オールセラミック 5本 366,000円
グラディア 2本 40,000円
計406,000円


ファイバーコア+オールセラミック 6本 732,000円
ファイバーコア+ジルコニア 2本 264,000円
計996,000円